Contáctanos para más información! 923281690 CONTACTAR
Es tu sonrisa gingival Todo lo que necesitas saber para corregirla

¿Es tu sonrisa gingival? Todo lo que necesitas saber para corregirla

Publicado por Dr Javier: 17 diciembre, 2024

Ultima actualización de este artículo: Hace 1 año por Dr Javier

Si has notado que cuando sonríes tus encías quedan muy expuestas y no te sientes cómodo con ello, quizás te hayas preguntado si es tu sonrisa gingival. Aunque no se trata de una condición que afecte la salud bucal del paciente, sí puede afectar psicológicamente. Por ello, a continuación, responderemos a esta duda y te diremos todo lo que necesitas saber para corregirla.

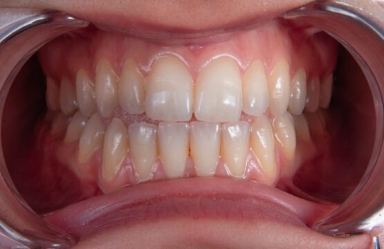
¿Qué es la sonrisa gingival?

A la sonrisa gingival también se le conoce como exposición gingival excesiva. Se refiere a la condición en la que una persona, al sonreír o abrir la boca, se le nota demasiado el tejido de las encías, en especial en los dientes superiores.

¿Cómo identificar si tienes una sonrisa gingival?

Lo que puede ser una sonrisa gingival para unos puede no serlo para otros, debido a que se trata más de un asunto de percepción. A pesar de que no hay un estándar definido de cuánta encía debe estar expuesta, estudios realizados han dado como resultado que la exposición de más de dos milímetros de encía se percibe como una sonrisa gingival.

Sin embargo, cuando la cantidad de encía es menor a cuatro milímetros la afección se considera leve. Mientras que entre cuatro y seis milímetros se define como una sonrisa gingival moderada, y más de seis milímetros como grave.

Causas de la sonrisa gingival

Se trata de una condición que afecta a más del 25 % de la población y le sucede a un porcentaje mayor de mujeres que de hombres, y las causas pueden ser varias. Revisemos, a continuación, las razones más destacadas por las que una persona puede tener una exposición excesiva de sus encías.

Exceso de encía

Cuando los dientes brotan de forma incorrecta es posible que una porción del diente no erupcione y quede cubierto en gran parte por la encía, quedando una cantidad de tejido gingival a la vista. Esto provoca que la pieza dental se vea pequeña, aunque internamente el diente tenga un tamaño normal.

Tamaño o posición de los dientes

Cuando los dientes parecen muy cortos porque brotan de forma prematura, queda una gran parte del diente dentro de la encía, por lo que se ven más pequeños. También por causas genéticas o por desgaste, los dientes pueden ser muy pequeños en relación con las encías.

Hipermovilidad del labio superior

Un labio superior hiperactivo es aquel que tiene una longitud considerada normal mientras se encuentra en reposo, pero que se eleva más de los normal al momento de sonreír, lo que hace que quede expuesta una mayor parte de la encía.

Crecimiento excesivo del maxilar superior

El desarrollo anormal del hueso de la mandíbula superior en la etapa del crecimiento es una condición llamada exceso maxilar vertical. Esta pueda dar lugar a que quede expuesto mucho tejido gingival al momento de abrir la boca o sonreír.

Factores genéticos y hereditarios

El tamaño y la forma de los huesos de la mandíbula están determinados por factores genéticos, así como el tamaño y forma de los dientes. También la genética influye en cuán grueso es el tejido de las encías y en la forma y tamaño del labio superior.

Impacto de la sonrisa gingival en la estética dental

Percepción social y autoestima

Tener dientes y encías desproporcionados afecta la armonía del rostro. Este desequilibrio facial impacta en la manera en cómo se percibe la persona al mirarse al espejo y cómo lo observan las demás, lo cual genera inseguridad que cohibe a la persona de sonreír con naturalidad, afectando su autoestima y su confianza.

Importancia de la proporción entre dientes y encías

Para tener una sonrisa que luzca hermosa y saludable, los dientes y las encías deben tener una proporción equilibrada. Si lucen demasiado pequeños o demasiado grandes, o las encías son muy visibles, la persona se puede sentir acomplejada, verse envejecida y perder la confianza en sí misma.

Diagnóstico de la sonrisa gingival

Determinar si un paciente tiene una sonrisa gingival es una de las funciones de un odontólogo.  

Evaluación clínica por parte del odontólogo

Mediante una evaluación física el dentista en Salamanca o en tu localidad, puede ver si hay una cantidad de tejido gingival en exceso, o si hay algún problema con la posición de los dientes o del labio superior que puedan estar afectando la estética de la boca del paciente.

Pruebas complementarias para determinar la causa

De igual forma, es posible que el odontólogo necesite realizar pruebas adicionales para completar el diagnóstico. Por ejemplo, mediante radiografías se puede verificar cuál es la posición de los dientes, la proporción de su tamaño y la longitud de las raíces. También puede ser necesaria la elaboración de moldes o impresiones para realizar un mejor análisis y revisión de la posición de los dientes.

¿Es tu sonrisa gingival? Todo lo que necesitas saber para corregirla

Tratamientos para corregir la sonrisa gingival

Gingivectomía y gingivoplastia

En casos graves, donde hay demasiado tejido gingival, un dentista especializado en periodoncia puede sugerir una gingivectomía en la que se retira el exceso de tejido en las encías para darle un nuevo aspecto a la sonrisa.

Ortodoncia para reposicionar los dientes

En pacientes con una sonrisa gingival leve, asociada con la posición de los dientes o de la mandíbula, se puede mejorar la posición de la dentadura y corregir la mordida con un tratamiento de ortodoncia colocando brackets o invisalign .

Cirugía ortognática

Una opción más invasiva como la cirugía ortognática es una de las soluciones para quienes sufren de exposición gingival moderada o severa, la cual muchas veces se combina con un tratamiento de ortodoncia. Durante la operación, el cirujano se encargará de ajustar la mandíbula superior para que tenga el tamaño y la posición adecuada.

Inyecciones de toxina botulínica

Una opción novedosa y que no implica un gasto elevado es la inyección de bótox. Sin embargo, esta alternativa sólo es efectiva para casos en los que el problema sea el labio superior, ya que al inyectar el bótox se paralizan los músculos del labio y evita la hipermovilidad. Y hay que tener en cuenta que sus efectos pueden durar sólo entre tres y cuatro meses.

Uso de ácido hialurónico

Aplicar ácido hialurónico en zonas como los bordes de la boca, los labios o las comisuras permite mejorar la apariencia  y equilibrar la proporción entre los dientes y encías, aportándole al rostro un aspecto más simétrico y armonioso.

Miotomía del labio superior

El objetivo de una miotomía de labio superior es debilitar la fuerza del labio superior.  Es una cirugía poco invasiva en la que con anestesia local se puede mejorar la condición de pacientes con sonrisa gingival. Es un procedimiento rápido y no deja cicatrices.

Consideraciones antes de elegir un tratamiento

Evaluación de la causa subyacente

De acuerdo a la causa que origine la sonrisa gingival, el especialista determinará el tratamiento más adecuado. Por ello, es indispensable encontrar la razón para tratarla y corregir el problema.

Duración y efectividad de cada procedimiento

Cada tratamiento tiene un tiempo estimado de duración, y también un lapso en el que se mantiene su efectividad.  Por ejemplo, los tratamientos quirúrgicos ofrecen resultados a largo plazo, pero requieren de cuidados y un tiempo posoperatorio; mientras que los tratamientos como el bótox tienen efectos que desaparecen luego de algunos meses, y no tienen un tiempo de reposo.

Posibles riesgos y complicaciones

Los procedimientos para tratar la sonrisa gingival son seguros; sin embargo, pueden conllevar ciertos riesgos y complicaciones que se deben conocer antes de tomar cualquier decisión.

  • Infecciones en la zona tratada.
  • Sangrado ligero.
  • Molestias y dolores.
  • Inflamación.
  • Entumecimiento.

De acuerdo al tratamiento específico también pueden haber otros riesgos, como la recesión gingival en una gingivectomía, la migración del bótox a otras partes del rostro creando asimetrías, alergia o infección por efecto del ácido hialurónico, entre otros.

Cuidados posoperatorios y mantenimiento

Recomendaciones tras la intervención

  • Descansar y evitar actividades que requieran esfuerzo físico.
  • Utilizar compresas de hielo para reducir la hinchazón y las dolencias.
  • Tomar los analgésicos y antibióticos según sea el caso y la indicación del especialista.
  • Tener una dieta blanda, evitando alimentos duros o crujientes. Así como comida demasiado caliente, ácida o picante.
  • Evitar fumar o consumir bebidas alcohólicas o azucaradas.
  • Si practicas deportes de contacto, considera utilizar protectores bucales.
  • Realizar limpiezas dentales profesionales

Importancia de la higiene oral en la recuperación

Durante la recuperación, y también luego de cualquier tratamiento odontológico, es indispensable tener una rutina de higiene bucal óptima. Cepillarse al menos dos veces al día, utilizar hilo dental y enjuague bucal antibacterial al menos una vez al día y acudir a los controles con el dentista es la manera adecuada de cuidar tu salud bucal, garantizar resultados exitosos y prevenir complicaciones.

Conclusión

Con esta sencilla guía, ahora puedes saber si tienes sonrisa gingival y cuáles son los tratamientos más comunes para tratar esta condición. Recuerda que lo primero que debes hacer si no te sientes cómodo con tu sonrisa es acudir al dentista para una evaluación, y será este quien recomiende el mejor tratamiento, de acuerdo a tus necesidades. Cuidar tu salud bucal y corregir la sonrisa gingival le dará una mejor apariencia a tu rostro y aumentará tu autoestima.

Compartir:

c/ Ramón y Cajal,

21-23 - 37002 Salamanca

Gran Vía, 30

37001 Salamanca, España.

923 28 16 90

¡Llámanos hoy!

Horario de apertura

Lunes a Viernes: 9:30-20:30

Correo Electrónico

info@clinicadentalurbina.com