Publicado por Dr Javier: 11 octubre, 2024
Ultima actualización de este artículo: Hace 2 años por Dr Javier
Una de las afecciones bucales más comunes son las encías inflamadas, ya sea leve, moderada o severa, esta condición puede resultar molesta, dolorosa e incluso llegar a convertirse en una enfermedad periodontal. Para entender mejor esta condición y qué hacer si notas algunos de los síntomas, en esta oportunidad te diremos las causas y cómo tratarlas. ¡Sigue leyendo!
¿Qué son las encías inflamadas?
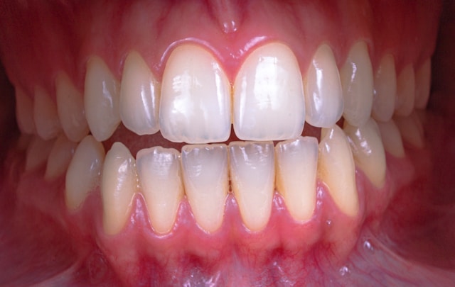
Las encías inflamadas son la hinchazón de este tejido blanco de la boca, por lo tanto, lucen más grandes o abultadas de lo habitual. Es una condición que ocurre por diversas razones y puede provocar desde síntomas leves que en ocasiones pasan desapercibidos, hasta problemas más graves.
Tipos de inflamación en las encías
- Gingivitis. Es la forma de inflamación de las encías más común y es la condición en su etapa inicial. Sus principales síntomas son el dolor y enrojecimiento del tejido gingival. Dentro de la gingivitis existen, otros tipos como la gingivitis del embarazo, la gingivitis por medicamentos o asociada a enfermedades sistémicas.
- Periodontitis. Es el tipo de inflamación que ocurre luego de una gingivitis no tratada. Se trata de una condición más severa que puede causar encías sangrantes, dolor severo e incluso la pérdida de piezas dentales.
- Periimplantitis. Es la inflamación que ocurre en los tejidos que rodean un implante dental, y puede llegar a causar la pérdida del implante.
Causas de las encías inflamadas
Las encías son un tejido blanco y delicado que se encuentra en la boca, y son diversas los motivos por lo cuales estos tejidos se pueden inflamar. Entre las causas más frecuentes de una encía inflamada, podemos mencionar los siguientes:
Placa bacteriana y sarro
La acumulación de placa dental y sarro, es una de las principales causas de las encías inflamadas. La placa bacteriana es una capa pegajosa que se forma en los dientes y que si no se elimina con cepillado y el uso de hilo dental, se convierte en sarro.
Cuando hay mucho sarro, esto hace que las encías se irriten e inflamen.
Higiene oral deficiente
No tener una rutina de higiene bucal adecuada puede aumentar las probabilidades de que se forme sarro y placa dental y de que reproduzcan bacterias en el interior de la boca, lo cual provoca irritación en las encías.

Cambios hormonales y su efecto en las encías
En etapas de la vida donde ocurren muchos cambios hormonales, en especial en las mujeres, como durante el embarazo, el postparto, la pubertad y el ciclo menstrual, aumenta el flujo de sangre hacia las encías. Esto puede provocar que se hinchen e irriten con mayor facilidad.
Fumar y sus consecuencias en las encías
Los efectos de fumar o consumir productos del tabaco aumentan el riesgo de sufrir enfermedades periodontales, ya que reduce la respuesta inmunológica del cuerpo, haciéndolo más susceptible a infecciones. Además, afecta el flujo de la sangre hacia las encías, lo que ralentiza los procesos de cicatrización, recuperación de infecciones o tratamientos orales.
Uso de prótesis dentales mal ajustadas
El roce constante de una prótesis dental contra las encías, puede causar irritación, enrojecimientos o formación de llagas. Cuando la irritación por la fricción se vuelve muy frecuente se puede convertir en una inflamación crónica.
Factores genéticos y enfermedades periodontales
Hay personas que son más susceptibles a la formación de bacterias y las inflamaciones, lo que puede aumentar el riesgo de padecer enfermedades periodontales. Por tanto, de sufrir de encías inflamadas.
Síntomas de una encía inflamada
Enrojecimiento y sangrado al cepillarse
Una característica que define las encías inflamadas es el enrojecimiento de las encías, que toman este tono, en lugar del color rosa pálido que tienen en su estado normal.
La sensibilidad y la hinchazón en el tejido de las encías puede también causar sangrado con facilidad, tan sólo con el cepillado o el uso de hilo dental
Dolor o molestia al masticar
Por la sensibilidad en los dientes, provocada por la inflamación, se puede producir dolor o molestias al masticar. También cuando la hinchazón de las encías se debe a una infección, esto produce dolor.
Mal aliento persistente
La acumulación de bacterias en la boca, que pueden ser causantes de la placa bacteriana o de infecciones en la boca, también son responsables de que la persona pueda sufrir de halitosis o mal aliento
Cómo tratar las encías inflamadas
El tratamiento más adecuado para las encías inflamadas va a depender de la causa y la gravedad de la condición del paciente. Un dentista o especialista en periodoncia es el especialista que puede realizar una evaluación y así poder determinar cuál es el mejor tratamiento.
Buena higiene oral diaria
Una rutina de higiene bucal adecuada es esencial para tener una salud dental óptima. Esto significa que para que las encías puedan estar sanas también es indispensable cepillarse al menos dos veces al día, durante dos minutos y complementar con enjuague bucal e hilo dental una vez al día.
Al mantener limpias todas las zonas de la boca se puede evitar la reproducción de bacterias que es una de las causas de la encía inflamada.

Limpieza dental profesional
El odontólogo puede recomendar una limpieza dental profesional si la causa de las encías inflamadas es la acumulación de placa dental y sarro. Este procedimiento logrará eliminar estas condiciones y con ello las encías se irán desinflamando hasta mejorar por completo.
Enjuagues bucales antimicrobianos
Los enjuagues bucales antisépticos o antimicrobianos son una excelente opción para mantener la boca libre de bacterias.
También puedes optar por mezclar una taza de agua tibia con una cucharadita de sal, y con esto hacer gárgaras. La sal funciona como antiséptico, y es un remedio casero sencillo y efectivo, para aliviar la gingivitis.
¿Cuándo acudir al dentista?
Señales de alarma que requieren atención profesional
Ante algunos signos de que la condición está empeorando o que, por el contrario, se han tomado medidas como los tratamientos antes mencionados, y no se observa mejoría se recomienda buscar atención de un periodontista de inmediato, si se observa la presencia de algunos o todos los siguientes síntomas.
- Dolor fuerte que resulta insoportable.
- Sangrado abundante.
- Encías retraídas.
- Presencia de secreciones, como pus.
- Fiebre.
- Problemas para tragar.
- Dientes flojos.
Procedimientos dentales
Cuando se trata de pacientes con inflamación de las encías moderada o severa, o que no mejora, puede ser necesario recurrir a distintos tipos de tratamientos.
En caso de una inflamación moderada, además de una limpieza dental profesional, el médico puede sugerir alisado radicular, que consiste en el raspado de la raíz del diente para eliminar y evitar que se siga formando placa y sarro, de esta forma se logra mejorar la hinchazón.
En casos más graves, puede ser necesaria una opción quirúrgica. Una gingivectomía es un tipo de cirugía bucal en la que el dentista elimina parte del tejido de las encías, en especial en aquellos pacientes que han desarrollado bolsas periodontales. Otra cirugía, que puede ser efectiva es el injerto de tejido gingival, este se realiza con el objetivo de cubrir la raíz de un diente que ha quedado expuesta, de esta forma se puede mejorar la condición de pacientes con encías retraídas y evitar el avance de enfermedades de las encías como la periodontitis.
Cómo prevenir la inflamación de las encías
Cepillado adecuado y uso de hilo dental
Tal como lo indicamos, la higiene bucal es esencial para la buena salud bucal y como tratamiento para las encías inflamadas; pero también es una forma de evitar que las encías se inflamen.
Cepillarse con la técnica adecuada, el tipo de pasta acorde a las necesidades de la persona y con el tipo de cepillo correcto permiten mantener tus dientes sanos y limpios. Además, utilizar hilo dental y enjuague bucal permite eliminar los residuos de comida y eliminar las bacterias que se acumulan en la boca.
Dieta rica en vitaminas y minerales
Un déficit de vitaminas y minerales, como la vitamina C y A, hierro, calcio y fósforo, puede provocar que las encías se hinchen; por lo cual, es importante mantener una dieta saludable que aporte las vitaminas y minerales necesarios para mantener las encías sanas.
En la dieta diaria se deben incluir alimentos como las frutas y verduras, legumbres, pescados, productos lácteos y cereales integrales si desea estar saludable y que sus encías estén bien cuidadas.
Evitar el tabaco y el alcohol
Tanto el tabaco como el alcohol son hábitos que afectan la salud general de las personas. Y las encías no son la excepción. Ambos contienen elementos que dañan e irritan el tejido gingival. Por lo cual, se recomienda evitar su consumo para mantener una salud bucal óptima, y encías sanas.
En resumen, las encías inflamadas pueden ser un problema común, conocer las causas y los tratamientos disponibles es clave si crees que estás sufriendo de este problema. Para la prevención es clave una buena higiene bucal y visitas periódicas a tu dentista, esto evitará que pueda convertirse en una afección grave si no es tratada oportunamente. Si aún no visitas tu odontólogo este año, contáctanos para pedir cita.

El Dr. Javier Ortiz de Urbina Hidalgo es un especialista en Odontología e Implantología. Con muchos años de experiencia en la rama de la Odontología y la Implantología y una gran formación en muchos ámbitos de la especialidad.
